

- 2025年12月7日
黒白癬:てのひらの茶色のしみ(斑点)。皮膚顕微鏡検査で色素性棘。
19歳女性。 6か月前から左手のひらに大きくなる黒い斑点が出現していることを主訴に皮膚科を受診した。 石鹸や水ですすいでも軽減されなかった。 患者は右利きの大学…


19歳女性。 6か月前から左手のひらに大きくなる黒い斑点が出現していることを主訴に皮膚科を受診した。 石鹸や水ですすいでも軽減されなかった。 患者は右利きの大学…


55歳男性。10年来の進行性の手書き障害と早口でろれつが回らないという症状を主訴に神経内科受診となった。 30代の頃に個人用防護具をつけずに溶接工として働いてい…


23歳女性。昨日から掻痒を伴う発疹を認め、救急外来を受診した。 発症の5日前に発熱・悪寒・筋肉痛・嘔気・食思不振・眼窩後部頭痛が出現した。 症状は4日間続き、今…


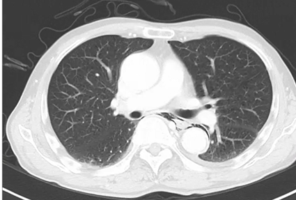
70歳男性。 6か月前から固体や液体を飲み込むのが徐々に困難になり、誤嚥が頻繁に起こるため内科受診となった。 身体所見では、肺野にcoarse crackleを…


37歳男性。サッカーの練習中に腕に鈍的外傷を負った後、1週間前から左上腕に痛みと腫脹が出現し救急外来を受診した。 既往としてオピオイド依存症の病歴があり、ブプレ…


72歳男性。 T2DMがあるものの良好にコントロールされていた。 4時間前から右眼に不快感と視界のかすみが出現し、救急外来受診。 眼の外傷や抗凝固薬の内服等はな…


75歳男性。6ヵ月前から心窩部痛が出現し、水様性げの下痢、体重減少(6㎏/6ヵ月)が出現し改善を認めないため救急外来を受診した。 身体所見では上腹部の圧痛が著明…


34歳男性。手をのばして転倒し、その後左手首の痛みが5ヵ月続いているため整形外科を受診した。 身体所見としては舟状骨関節腔(下記参照;ちなみに手根骨の覚え方とし…


関節リウマチ患者における抗RANKL抗体製剤「プラリア」(一般名:デノスマブ)の活用は、骨粗鬆症治療と関節破壊抑制の両面で重要です。効果を最大化し、安全に「使い…


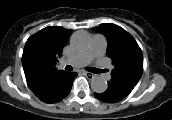
54歳女性。既往に気管支喘息とアレルギー性鼻炎がある。 3ヵ月にわたる湿性咳嗽と呼吸困難を認め救急外来受診となった。 発熱と悪寒、寝汗、体重減少(9㎏)を伴って…