

- 2026年4月26日
関節リウマチによる頚椎症の早期手術の重要性:手足のしびれ・歩行障害を防ぐためのタイミング【柏・我孫子のリウマチ専門外来】
関節リウマチ(RA)は手足の関節だけでなく、首の骨である「頚椎」にも強い炎症を引き起こすことがあります。特に、首の最上部にある第1頚椎と第2頚椎の間(環軸関節)…


関節リウマチ(RA)は手足の関節だけでなく、首の骨である「頚椎」にも強い炎症を引き起こすことがあります。特に、首の最上部にある第1頚椎と第2頚椎の間(環軸関節)…


関節リウマチ(RA)と診断されたら、一刻も早く専門的な治療を開始することが、将来の自由な生活を守ることにつながります。関節リウマチは、関節の滑膜に持続的な炎症が…


「関節リウマチで指が痛いけれど、手を動かした方が良いのか?」というのは、多くの患者様が抱く疑問です。結論から言えば、リウマチ治療において運動療法やリハビリテーシ…


「自分はHTLV-1(ヒトT細胞白血病ウイルス1型)のキャリアだけど、強いリウマチの薬を飲んでも大丈夫?」という不安をお持ちの患者さんは少なくありません。HTL…


「C型肝炎ウイルス(HCV)を持っているけれど、リウマチの強い薬を飲んでも大丈夫?」「肝臓が悪化してしまわないか心配」といった不安をお持ちの患者さんは少なくあり…


関節リウマチ(RA)の患者さんは、病気そのものによる免疫の乱れや、メトトレキサート(MTX)などの免疫抑制剤の使用により、「リンパ増殖性疾患(LPD)」という血…


関節リウマチ(RA)の治療は、近年の生物学的製剤(bDMARDs)JAK阻害薬、メトトレキサートなどの進歩により、劇的に改善しました。しかし、強力な免疫抑制作用…


心血管リスクや心不全を合併する関節リウマチ(RA)患者の治療において、抗リウマチ薬の選択は予後を左右する極めて重要な判断となります。RAそのものが心血管イベント…


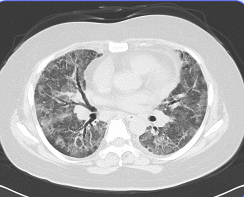
関節リウマチ(RA)の診療において、間質性肺炎(ILD)の合併は予後を左右する極めて重要な因子です。RA患者さんは肺病変を合併する頻度が高いため、治療開始前には…


関節リウマチ(RA)の治療において、痛みや腫れを抑えることと同じくらい重要なのが、将来の生活の質(QOL)を左右する「関節の変形」を防ぐことです。関節の変形は、…