- 2025年10月9日
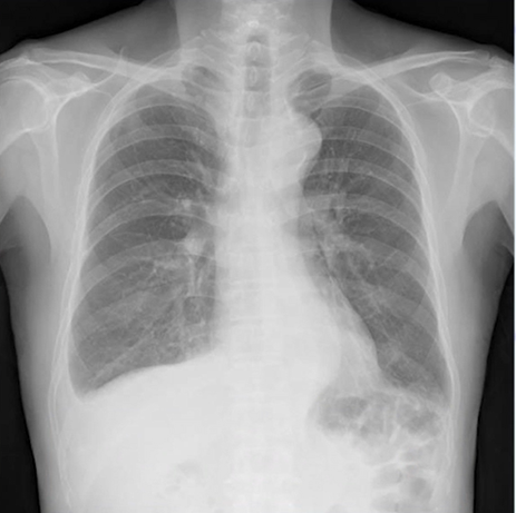
無症状なら肺癌を疑い、有症状なら肺炎や胸膜炎を疑うレントゲン写真(X-p):CPA dull(肋横隔膜角の鈍化)のレントゲン
同じレントゲン写真でも患者さんを診察し、症状を聴取しないと鑑別できないレントゲン写真もあります(CPA dull)。
CPA dullとは胸水が溜まっている場合に肋骨と横隔膜のなめらかな弓状のカーブが鈍くなり、鋭さが失われて丸く見えることです。
正常時のレントゲン:胸部X線の正面像で、横隔膜の尖った部分(肋横隔膜角、CP angle)は鋭い切れ込みのように見える。
CPA dullの場合:胸水が貯留すると、通常鋭角である肋横隔膜角が丸みを帯び、鈍角(flat)に見えます。
このような違いです。

本症例のレントゲン所見としては、右CPA dull、右肺は毛髪線も見えます。これは右胸水が示唆されます。
無症状なら肺癌を疑い、発熱あれば肺炎や胸膜炎疑います。
柏五味歯科内科リウマチクリニック
ホームページ