

- 2026年4月5日
妊娠中の子宮頸がんに対する集学的治療:母体予後と胎児保護の両立に向けた戦略
妊娠中に診断される子宮頸がんは、母体の根治的治療と胎児の生命維持という、極めて複雑な倫理的・医学的判断を要する疾患です。本ソースでは、妊娠10週でFIGO 20…


妊娠中に診断される子宮頸がんは、母体の根治的治療と胎児の生命維持という、極めて複雑な倫理的・医学的判断を要する疾患です。本ソースでは、妊娠10週でFIGO 20…


非歯原性歯痛とは、むし歯や歯周病など歯そのものに原因がないにもかかわらず、歯に痛みを感じる疾患の総称です。歯科外来を訪れる患者の約2%程度に認められると推定され…


ライム病は、ボレリア菌(Borrelia burgdorferi)を保有するマダニ(Ixodes scapularis)の咬傷によって伝播する、北米などで極めて…


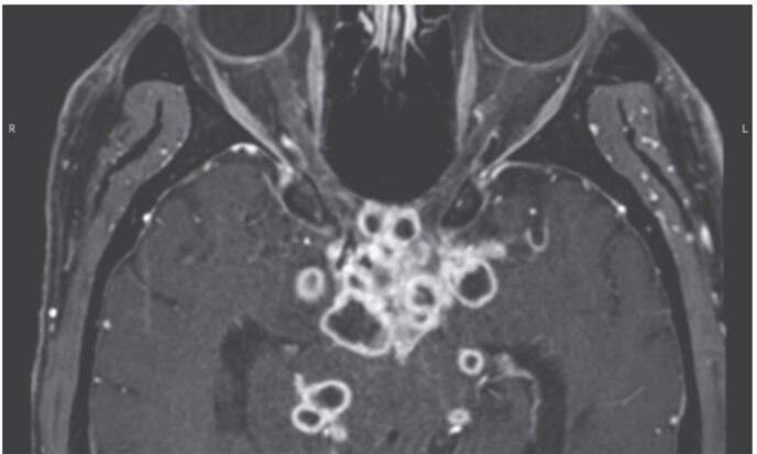
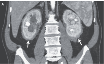
53歳女性。3ヵ月前から皮疹が出現するようになり、1ヵ月前から発熱を認めるようになり、内科外来受診となった。 身体所見では、びまん性毛細血管拡張、色素沈着、潰瘍…


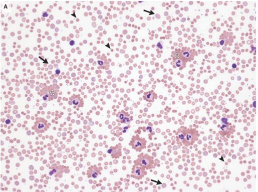
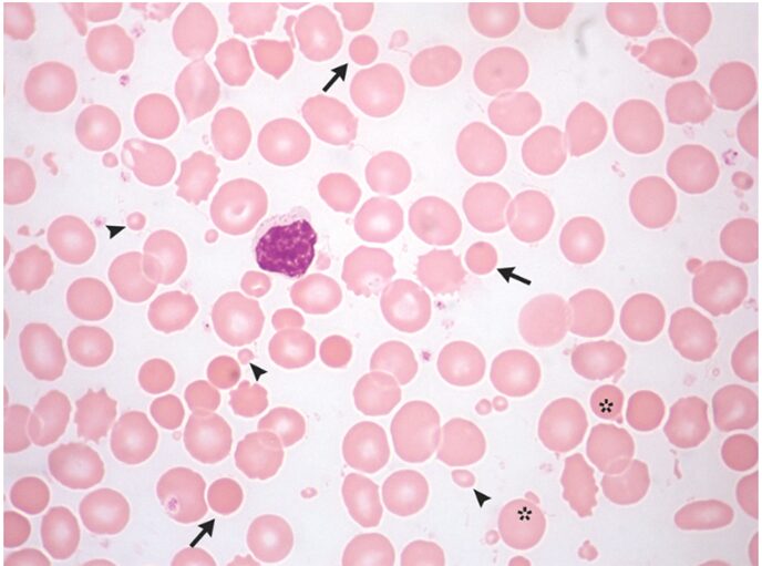
73歳男性。1か月にわたる倦怠感と全身の骨痛を訴え救急外来を受診した。 身体所見では肝脾腫が無いことを含め特記すべき所見を認めなかった。 採血所見ではWBC 1…


67歳男性。 約1か月前から呼吸困難、下痢が出現し、昨日から腹痛が出現したため外来を受診した。 身体所見では頚静脈怒張、左胸骨下縁の全収縮期雑音、びまん性喘鳴、…


40歳男性。特記すべき既往なし。 2週間前から鱗状の足の発疹、関節腫脹、腰痛を訴え内科受診となった。 7日前から下痢と尿道分泌物の症状があった。 身体所見として…


27歳男性。肥満あり。 1週間前から背中、腕、手に痒みの伴わない発疹が出現しだし、皮膚科を受診した。 嗜好歴としてアルコール多飲あり。 家族歴は脂質異常症や血管…


34歳肥満女性。 皮膚病変が4年間悪化し、3ヵ月にわたり体重減少があり精査目的に内科外来受診となった。 来院時BMI 30。 身体所見では胴体、臀部、四肢全てに…


69歳女性。 3年にわたる労作時呼吸困難が悪化したため救急外来を受診した。 断熱材製造会社での勤務中に発生したアスベスト暴露に起因すると考えられる限局性胸膜プラ…