- 2025年10月2日
- 2025年12月22日
乳房パジェット病(湿疹に似ているため診断に難渋します)
44歳女性。1年前から右乳頭のかゆみと断続的な乳頭分泌を訴え皮膚科を受診した。
身体検査では右乳頭と乳輪の全体に境界明瞭のピンク色のプラークを認めた。
病変には隆起した不規則な辺縁があり、その上に痂皮形成および擦過傷を認めた。

病変のダーマスコピーでは表面の溝と鱗屑が示された。

触知できる乳房腫瘤や腋窩リンパ節腫脹は認めなかった。
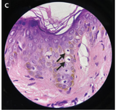
病変のパンチ生検が施行された。
生検所見としては上皮内腺癌細胞の増殖が確認された。

以上より「乳房パジェット病」と診断された。
乳房パジェット病は乳頭の皮膚に発生する乳癌。
通常乳房パジェット病は上皮内乳管癌または浸潤性乳管癌の形態をとる。
そのため「湿疹」に似ていることが多いため、診断が難渋することが多い。
MRIが施行され、乳輪内に非浸潤性の腫瘤性病変を確認した。
治療として乳頭・乳輪切除と広域郭清術が施行され、その後放射線療法が追加でなされた。
1年後のフォローでは無再発で経過できている。
N Engl J Med 2023; 388:1126
DOI: 10.1056/NEJMicm2210124
柏五味歯科内科リウマチクリニック
ホームページ