- 2025年10月3日
- 2025年12月22日
住血吸虫症(肉眼的血尿を見落とさない):プラジカンテル(ビルトリシド🄬)で治療
13歳少年。アフリカ出身。集団検診にて肉眼的血尿を認め、精査目的に小児科受診。
身体所見では発熱や側腹部痛や排尿障害がないことを含め全て正常だった。
尿検査では血尿と膿尿を認めた。培養は陰性だった。
採血施行。Eos 2660(正常範囲40~200)、IgE 3544 (正常範囲 0~200)
尿の顕微鏡検査では末端棘をもつ楕円形の寄生虫の卵を認め(0~1/HPF)、住血吸虫と一致する所見だった。

膀胱鏡検査施行。ポリープ状の塊が膀胱内腔に押し出ていることが示唆された。

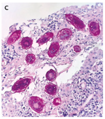
膀胱生検も施行され、多数の住血吸虫卵、急性および慢性の乳頭状膀胱炎およびポリープ状膀胱炎が認められ、異形成は認められなかった。

住血吸虫に対する血清抗原検査は陽性だった。
「S.ヘマトピウム(S. haematobium)による尿中住血吸虫症」と診断された。
治療としてはプラジカンテル(ビルトリシド🄬)内服が施行され、治療開始から2週間後、患者の肉眼的血尿は消失した。治療開始から1か月後の尿検査では顕微鏡的血尿や住血吸虫卵は認められなかった。
N Engl J Med 2023; 389:454
DOI: 10.1056/NEJMicm2300207
柏五味歯科内科リウマチクリニック
ホームページ