- 2025年10月9日
肺嚢胞のレントゲン(X-p)所見
肺嚢胞のレントゲン所見では、肺野に黒く映る袋状の「ブラ」が確認されます。これらのブラは空気がたまった異常な空洞で、サイズが大きくなったり(巨大ブラ)、内部に炎症が起こったりする可能性もあるため、定期的な経過観察が必要になります。
レントゲンで見つけるときの大切なポイントとして下記のような特徴に注目します。経時的な観察も重要です。
黒っぽく映る袋状の影:
肺の正常な組織が破壊され、風船のように空気がたまった部分が、胸部レントゲン写真では黒く映ります。
ブラの部位:
一般的に肺の表面にできやすく、特に肺尖部(肺のてっぺん)に多い傾向があります。
大きさの変化:
小さなブラが徐々に大きくなり、「巨大気腫性肺嚢胞(巨大ブラ)」と呼ばれる状態になることもあります。
合併症の可能性:
まれに、ブラの中で細菌が感染して化膿したり、ブラが破れて空気が胸腔内に漏れ出し「自然気胸」を引き起こしたりすることがあります。

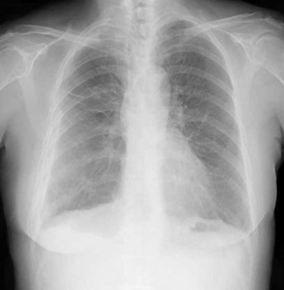
本症例のレントゲン所見としては所見:左右の横隔膜が平坦でところどころ尖っていることが確認できます。また右上肺野に横に走る線があり、その上部が黒いです(=嚢胞を疑う所見)。その他にもあちこちに嚢胞を疑わせる透過性亢進像あり
本症例のレントゲン所見としては所見:左右の横隔膜が平坦でところどころ尖っていることが確認できます。また右上肺野に横に走る線があり、その上部が黒いです(=嚢胞を疑う所見)。その他にもあちこちに嚢胞を疑わせる透過性亢進像あり。
このような場合、疑うべき疾患は「嚢胞が多発する疾患」であり、女性だったらリンパ脈管筋腫症などになります。
※嚢胞の分布による疾患の違い
上肺野:COPD
下肺野:肺線維症、COPD、リンパ脈管筋腫症(LAM)、ランゲルハンス細胞巨核球症など
確定診断は気管支鏡検査(行わないこともあります)。
柏五味歯科内科リウマチクリニック
ホームページ