- 2025年10月27日
- 2025年12月22日
「胎児性横紋筋肉腫」(小児で最も一般的な原発性眼窩悪性腫瘍):眼球の動きに応じてまぶたの腫れが変わるという主訴からの診断です。
8歳男児。特記すべき既往なし。2週間前から右下まぶたの腫脹が出現した。疼痛がないため経過がみられていたが、腫脹は悪化傾向のため、救急外来を受診した。
身体所見としては上を向いた時腫脹が増悪し、下を向いた時は腫脹が改善するというものだった(A)。
右眼を開けると、結膜下紅斑組織が下眼瞼の下から突き出しているのが確認された(B)。

視力と眼球運動に異常は認めなかった。
MRI施行。→眼球の前下部分に沿って不均一で境界明瞭のT1低信号、T2高信号の腫瘤が確認された。

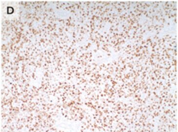
切開生検施行。組織病理学的検査により、ミオゲニン(myogenin)陽性の青色小細胞の密なシートが確認された。

「胎児性横紋筋肉腫」(小児で最も一般的な原発性眼窩悪性腫瘍)と診断された。
病期評価がなされ、Stage1であることが示され、化学療法、放射線療法が施行された。
3か月後のフォロー時には画像検査では病変は消失し、視力は正常に維持されていた。
本症例のように眼球の動きに応じて変化する眼瞼の腫脹は悪性腫瘍を含む外眼筋の疾患を疑う必要がある。
N Engl J Med 2023; 388:e4
DOI: 10.1056/NEJMicm2207328
柏五味歯科内科リウマチクリニック
ホームページ