- 2025年10月31日
- 2025年12月22日
ポリエチレンスルホン酸Ca(高K血症治療薬)関連結腸壊死:腸内でカルシウムイオンとカリウムイオンを交換することで、過剰なカリウムを体外へ排泄させますが、副作用で腸管壊死があります。
58歳女性。亜急性腎臓損傷のため入院したが、突然血便を起こしたため病棟コールがあった。
入院時高K血症を認めていたため、陽イオン交換樹脂(ポリスチレンスルホン酸Caゼリー)が1日3回処方されていた。入院6日目にHbの著明な減少と共に、痛みの無い血便が出現した。
緊急大腸内視鏡検査が施行された。その際の所見。脾湾曲部から直腸まで広範囲に連続的に大腸潰瘍が多発していた。活動性の出血は認めなかった。

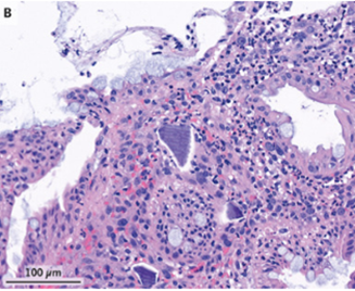
結腸粘膜生検が施行され、壊死炎症を背景に上皮損傷と好塩基性ポリスチレンスルホン酸Ca結晶が認められた。

「ポリエチレンスルホン酸Ca関連結腸壊死」と診断された。
ポリスチレンスルホン酸Caまたは、その類似体であるポリスチレンスルホン酸Naの使用により胃腸損傷が発生することがある。真の頻度と根底にあるメカニズムは不明である。
結腸は最も頻繁に関与する部位。
本症例では、血便は薬剤の中止と絶食による腸の休息により軽快に向かった。
腎機能が改善し、K値も正常になり、入院45日目に退院となった。
N Engl J Med 2023; 388:164
DOI: 10.1056/NEJMicm2205643
柏五味歯科内科リウマチクリニック
ホームページ