- 2025年10月7日
- 2025年12月22日
Erdheim–Chester disease:エルトハイム・チェスター病(腎周囲に認めた非ランゲルハンス細胞組織球症)
62歳男性。胆石の評価を受けるためAUS施行されたところ後腹膜に腫瘤があることが指摘され内科外来紹介受診。
バイタルサインは正常で、身体検査においても特記すべき異常を認めなかった。
採血所見では腎機能正常。
CT所見では腎臓周囲の軟組織、両側重度の水腎症が示された。

その後PET-CTも撮影されたが、異常集積部位は認めなかった。
尿管ステントを両側尿管に設置し、腎周囲の軟組織の生検が施行された。
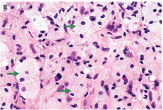
病理では、散在するリンパ球および形質細胞と混合した組織球の浸潤を認めた。

免疫染色により細胞はCD68強陽性、S100、CD1a陰性だった。BRAF V600E変異は陽性だった。
以上から「Erdheim–Chester disease:エルトハイム・チェスター病」と診断された。
エルトハイム・チェスター病は非ランゲルハンス細胞組織球症であり、通常長骨の硬化性病変として現れる。
この疾患は後腹膜腎周囲組織の浸潤を含む多くの骨外所見とも関連しており、腎臓周囲の所見は「毛深い腎臓」と呼ばれて特徴的画像を示す。
治療としては変異型BRAF V600Eキナーゼの標的阻害薬(ベムラフェニブ)による治療が開始された。
1年後のフォローでは病気の進行は見られていない。
N Engl J Med 2023; 388:925
DOI: 10.1056/NEJMicm2208776
柏五味歯科内科リウマチクリニック
ホームページ