- 2025年10月23日
歯原性皮膚瘻:齲歯、歯周病、歯の骨折よる歯根の慢性感染によって引き起こされます。根管治療により治癒します。
42歳女性。特記すべき既往なし。
約6か月前から顎の右側に腫れと痛みが出現し内科外来を受診した。
来院時発熱を認めず、顎の外傷歴はなかった。
身体所見では顎の右下部にかさぶたを被った皮膚のくぼみの領域を認めた。同部位は痛みと漿血性の排出を認めた。

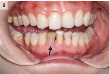
口腔内検査では下顎の右側切歯の変色があった。

歯科由来の病変の可能性を考慮し歯科受診、X-p施行された。
X-p所見としては色調変化を認めた歯の周囲の根尖周囲の希薄化と骨融解像が認められた。

「歯原性皮膚瘻」と診断された。
歯原性皮膚瘻は齲歯、歯周病、歯の骨折よる歯根の慢性感染によって引き起こされる。
歯原性皮膚瘻は顎や顔に「えくぼ」「小結節」「膿疱」として現れる。
外観が変化したり歯の症状が欠如することがあるため、誤診率が高い。
本症例では追加問診で、約10年前にバスケットボールをしているとき、右側切歯を負傷したことがあることが判明した。
歯科による根管治療が施行され、4ヵ月目のフォローアップでは瘻孔は治癒を認めた。

N Engl J Med 2023; 388:543
DOI: 10.1056/NEJMicm2209259
柏五味歯科内科リウマチクリニック
ホームページ