- 2025年10月25日
- 2025年12月22日
脾臓結核:非常に診断に難渋し摘出術施行し確定診断です
29歳男性。2週間前から左側腹部痛が出現し、改善を認めないため救急外来を受診した。
6ヵ月前からHIVと非薬剤耐性の肺結核の診断を受けており、抗レトロウイルス薬と4剤抗結核療法が開始されていた。しかし診断後すぐに抗結核療法はリファンピンとイソニアジドに減量されていた。
受診時身体診察では、左上腹部で圧痛を認めた。反跳痛なし。
採決ではCD4細胞数は119/mm2、ウイルス量は1778Copy/ml(正常<20)であった。
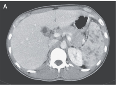
腹部CTでは脾臓に多数の低吸収領域を伴う肥大した脾臓が示された。

HIV関連悪性腫瘍も否定できず、脾臓摘出術が施行された。
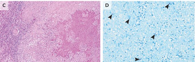
脾臓の肉眼的所見としては化膿性分泌物を伴う多数の壊死性結節を認めた。

組織病理検査では乾酪壊死を伴う肉芽腫性炎症(C)ならびに抗酸菌陽性(D)が示された。

組織培養検査は陰性であった。
組織の結核PCRは陽性を示し、「脾臓結核」と確定診断された。
ピラジナミドとエタンブトールが抗結核療法に再び追加され、患者は9か月にわたる4剤併用療法を完了した。
N Engl J Med 2023; 388:e6
DOI: 10.1056/NEJMicm2206174
柏五味歯科内科リウマチクリニック
ホームページ