- 2025年10月25日
- 2025年12月22日
妊娠中のアトピー性皮膚炎:胎児には影響ないです。多形性妊娠発疹が鑑別です。
37歳初産婦女性。胴体、腕、脚に紅斑を伴う丘疹、結節、毛包性膿胞を認め、手のひらや足の裏には病変は認めなかった。
(A:左腕、B:左腕拡大図)

多形性妊娠発疹の可能性を考慮し、局所および経口GCが処方されたが効果を認めなかった。
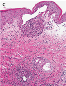
皮膚生検施行。表皮下の膿胞と毛包周囲の好中球浸潤を認めた。

グラム染色陰性、PAS染色陰性、グルコット染色陰性、KOH陰性だった。
「妊娠中のアトピー性皮膚炎」と診断された。
妊娠中のアトピー性皮膚炎は妊娠に伴う最も一般的な皮膚疾患。
湿疹、掻痒を認め、本症例のように掻痒性毛嚢炎が含まれる。
妊娠時のアトピー性皮膚炎はアトピーの病歴と関連することが多いが、本患者はアトピーの既往はなかった。
この状態が胎児に危険を及ぼすことはない。
治療としてCsAと高用量経口GCが処方され、2週間後のフォローでは病変は軽減を認めた。

N Engl J Med 2023; 388:357
DOI: 10.1056/NEJMicm2207685
柏五味歯科内科リウマチクリニック
ホームページ