- 2025年10月27日
- 2025年12月22日
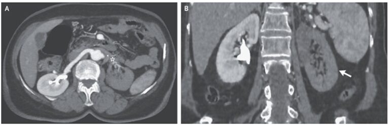
腎梗塞:その原因精査で本態性血小板血症が発覚した症例です
特記すべき既往のない73歳女性。2日前から左側腹部痛が出現し受診した。
バイタルはBT 38.5℃、身体所見において腹部圧痛がないことを含め特記すべき異常を認めなかった。
採血所見ではPLT 65万、LDH 422(基準範囲 100~250)、炎症反応は陰性だった。
造影CT施行。左腎動脈の造影効果消失を認め、左腎梗塞が示唆された。

更なる精査が施行され、不整脈を認めず、腎動脈損傷も認めなかった。
血小板の持続的な上昇があったため、JAK2 V617F変異株の遺伝子検査が施行され、結果は陽性であった。
「本態性血小板血症(ET:essential thrombocythemia)」と診断された。
本態性血小板血症は動脈血栓症や静脈血栓症を合併しうる。
治療としては血管イベントの予防がメインとなり、ハイドロキシウレア(ハイドレア🄬)とアスピリンによる治療が開始された。2か月後のフォローでは左側腹部痛を認めず、血小板数も正常化した。
N Engl J Med 2023; 389:e16
DOI: 10.1056/NEJMicm2301590
柏五味歯科内科リウマチクリニック
ホームページ