- 2025年10月27日
- 2025年12月22日
白色便と発熱:精査で寄生虫感染(胆汁性回虫症)であることが分かり、アルベンダゾール(エスカゾール🄬)で治療した症例です。
75歳男性。特記すべき既往なし。
約3週間にわたる発熱、白色便、進行性の疝痛を伴う腹痛を訴えて救急外来を受診した。
住居地域はコロンビア南西部の浄水にアクセスが限られた地域に住んでいた。
BT 38.2℃
身体所見とすると、眼球結膜黄染を認め、右上腹部に圧痛が確認された。
採血所見では、WBC 24870(基準範囲4000~10000)、直接ビリルビン 3.8(基準値 0~1.2)であった。
AUS施行され、肝内・肝外胆管の拡張ならびに総胆管内に胆泥貯留が確認された。
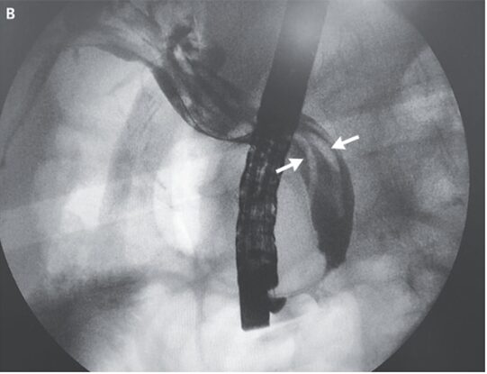
ERCP施行。胆管膨大部から虫が突き出ているのが観察された。摘出した結果、この虫は正中の回虫であることが確認された。

その後胆管造影が施行され、他にも2体存在することが示唆された(白抜けしている像)。

バルーンカテーテルを使用し、除去。
診断としては「胆汁性回虫症」と診断された。
治療としてはアルベンダゾール(エスカゾール🄬)の内服、二次性胆管炎に対してはTAZ/PIPCが投与された。
1週間後には疼痛消失し、解熱、軽快傾向に向かった。
N Engl J Med 2023; 389:839
DOI: 10.1056/NEJMicm2301930
柏五味歯科内科リウマチクリニック
ホームページ