- 2025年10月8日
肺癌のレントゲン(X-p)写真②
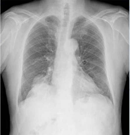
肺癌の特徴として下記のものがあることを説明しました。
結節影(けっせつえい):
本来、空気を含んで黒く映るはずの肺に、直径3cm以下の円形や楕円形の白い影として現れます。これは肺の組織ではない「しこり(腫瘤)」の可能性があることを示します。
浸潤陰影(しんじゅんいんえい):
炎症などにより肺に水分が溜まり、境界がはっきりしない白い影として映ります。これは肺炎の典型的な所見ですが、肺癌細胞が周囲の細胞に炎症を起こしている場合にも見られることがあります。
空洞影(くうどうえい):
肺がんが進行して肺組織の中にドーナツ状の空洞ができると、周りが白く、中が黒い「空洞影」としてレントゲンに写ることがあります。
本症例では右下肺野に横隔膜とシルエットサイン陰性(周囲の臓器と離れていることが示唆される)の腫瘤影を認め、横隔膜から離れた肺癌が疑われます。精査へ進めます。

柏五味歯科内科リウマチクリニック
ホームページ