- 2025年10月8日
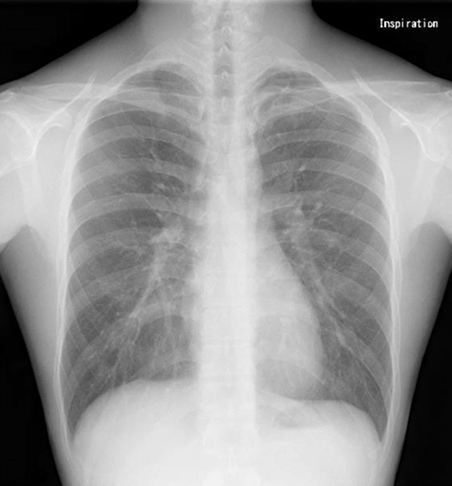
気胸の胸部レントゲン(X-p)所見
突然の胸痛や改善しない胸痛を主訴に患者さん(特にやせ型の高身長の男性に多い。あとはCOPDがありそうな高齢男性にも多いです)は、やってきます。
気胸を疑った場合、どのようなレントゲン所見になるのでしょうか。
下記のような特徴があります。
しぼんだ肺(虚脱した肺):
本来肺があるべき範囲に空気しかなく、肺組織自体は「白く」映ります。
胸腔内の空気(黒く見える部分):
肺から漏れ出た空気が肺の外側に溜まり、この空気が「黒く」映ります。
肺紋理(肺の血管走行)の変化:
正常な肺では、血管の走行である肺紋理が肺の隅々まで見えますが、気胸があると肺がしぼんだ部分では肺紋理が見えなくなります。
重症度の判断:
肺のしぼみ具合(虚脱の程度)によって、軽度、中等度、高度気胸と判断されます。肺がさらにしぼんで心臓などを圧迫する重症なケースでは、縦隔という胸の中心が反対側に押し込まれる(縦隔の偏位)所見が見られることもあります。

本症例では左肺尖部の概則に凹凸を認め、気胸を疑います。
柏五味歯科内科リウマチクリニック
ホームページ