- 2025年10月15日
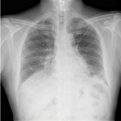
CTだとリバースドハローサインを認める胸部レントゲン写真(X-p):鑑別は結核・悪性腫瘍・膠原病や薬剤になります
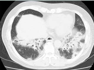
リバースドハローサイン(逆ハローサイン)とは、胸部CT画像で、中心に円形のすりガラス陰影があり、その周囲を三日月状または完全な輪状の浸潤影が取り囲んでいる画像所見です。この所見は、肺感染症や、非感染性の肺疾患(悪性腫瘍・膠原病・薬剤性)などのサインである可能性があり、早期の鑑別診断が必要です。

所見とすると、両側下肺野に斑状に分布する浸潤影を認め、左心陰影や横隔膜とシルエットサイン陽性です。上記を鑑別に挙げ、精査が必要になります。
■CT所見

浸潤影を認め、その内部にすりガラス影を認める「リバースドハローサイン」です。器質化肺炎の時に出現すること多いです。入院管理になりますが、このような陰影を見た時には抗生剤投与を行い、起炎菌や反応をみながら「結核」や「悪性腫瘍」、「膠原病」、「薬剤性」の可能性を否定してから、PSL投与する事となります。
柏五味歯科内科リウマチクリニック
ホームページ