- 2025年10月9日
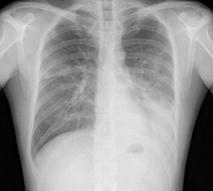
肺炎と考えたが浸潤性粘液産生腺癌だったレントゲン(X-p)写真

この写真を見たら何を考えるでしょうか?
所見としては、心陰影はシルエットサイン陰性、下降大動脈はシルエットサインは陽性、左横隔膜はシルエットサインは陽性です。
胃泡の位置(横隔膜下数cm)が確認できることより左横隔膜は下がっていないことも推測できます。
この写真を見たらまず肺炎を考えます。(シルエットサインから推測すると下葉ということになる)
その後の臨床経過とすると、抗生剤加療で浸潤影良くならず、気管支鏡検査施行し、浸潤性粘液産生腺癌と診断されました。
「最もありうるところから疾患を治療し、自分の診断が間違えだった場合は速やかに修正できるの能力」
これが臨床医の力でもあります。
柏五味歯科内科リウマチクリニック
ホームページ