- 2025年10月9日
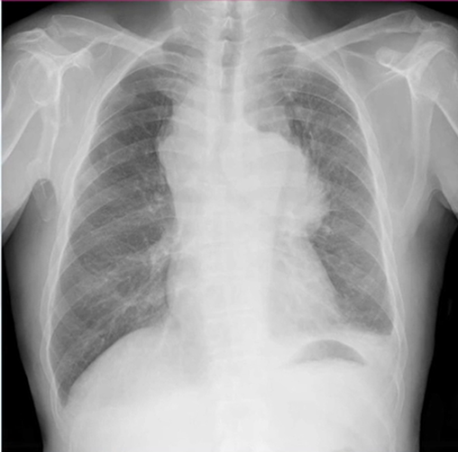
肺癌(多発リンパ節腫脹+片側胸水)のレントゲン(X-p):腫瘤がひとかたまりに見えるものは肺小細胞肺癌であることが多いです
肺小細胞癌はたばこに大いに関連し、レントゲン写真では肺門部や縦隔のリンパ節の腫大、肺門リンパ節の腫大が認められ、気管支壁の肥厚や閉塞が見られる場合もあります。小細胞肺癌は進行が早く、肺の中心部に発生することが多いのですが、CT検査で確認される中心性の腫瘤影や気管支の狭窄などはレントゲン写真では描出が難しいのも特徴です。
主な肺小細胞癌のレントゲン写真の特徴は下記の通りになります。
腫瘤影:
レントゲン写真には、通常は黒く見える肺に白い陰影として腫瘤(しゅりゅう:こぶ状の腫瘍)が写ることがあります。
リンパ節の腫大:
肺門部や縦隔(肺と肺の間)にあるリンパ節が腫れて、レントゲン写真上で白く大きく見えることがあります。
気管支の狭窄・閉塞:
気管支の壁が厚くなり、気管支が狭くなったり、完全に詰まったりしている様子が写ることがあります。

本症例のレントゲン写真の所見としては、右気管傍リンパ節腫脹、気管分枝部リンパ節腫脹、左気管傍リンパ節腫脹、左肺門リンパ節腫脹、左胸水が確認できます。
診断とすると、多発リンパ節腫脹+片側胸水ということになり、肺癌を疑います。このように腫瘤がひとかたまりに見えるものは小細胞肺癌であることが多いです。
柏五味歯科内科リウマチクリニック
ホームページ