

- 2025年10月15日
IgG4関連疾患の胸部レントゲン(X-p)
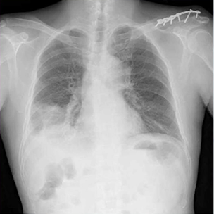
gG4関連疾患の胸部レントゲン写真には、リンパ節腫大(縦隔リンパ節の腫脹)や、肺野の「すりガラス影」、「結節影」、「線維化」といった多彩な陰影が見られます。また…
gG4関連疾患の胸部レントゲン写真には、リンパ節腫大(縦隔リンパ節の腫脹)や、肺野の「すりガラス影」、「結節影」、「線維化」といった多彩な陰影が見られます。また…
リバースドハローサイン(逆ハローサイン)とは、胸部CT画像で、中心に円形のすりガラス陰影があり、その周囲を三日月状または完全な輪状の浸潤影が取り囲んでいる画像所…
微熱が続き胸部レントゲン写真を撮ることがあります。粟粒結核をX-pで見抜くコツとすると、粟粒結核のレントゲンでは、両方の肺全体にびまん性(広がって)に散らばった…
レジオネラ肺炎、医師ならば見落とすことが非常に怖い疾患です。なぜならCTRXを選択しても効果が無く、悪化するからです。どのようなことに注意すればよいのでしょうか…
肺紋理がしっかり見えるということは、肺血管の肥大、気管支炎の炎症などが考えられます。合わせてどのような所見があるかも非常に重要になります。 このレントゲン写真で…
医師は肺門部リンパ節が主張しているかどうかにも当然気を配っています。どのようになると「肺門部リンパ節腫脹」というのでしょうか?その特徴をまとめておきます。 形状…
検診を行っているでしょうか?検診をしっかり行い前回写真があるからこそわかる症例もあります。今回は肺クリプトコッカス症であった症例ですが、これが肺癌であっても全く…
前提として何かしら(当院では膠原病関連)の間質性肺炎が存在している事をあらかじめ知っているということがあります。呼吸困難感増悪症例です。 所見としてはCPA(肋…
肺胞蛋白症をはじめから鑑別に挙げ精査していくことは胸部X-p単独では困難です。順番があります。手順を踏んでいくことで診断できるようになります。 本症例のレントゲ…
医師が胸部レントゲンで読影できるかで患者さんの寿命を大きく変えてしまうことがあります。なのでいつになっても医師は実力を高めるために努力が必要になります。本日のレ…