- 2025年10月14日
粟粒結核の胸部レントゲン(X-p)写真
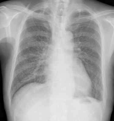
微熱が続き胸部レントゲン写真を撮ることがあります。粟粒結核をX-pで見抜くコツとすると、粟粒結核のレントゲンでは、両方の肺全体にびまん性(広がって)に散らばった、数ミリ以下の粟粒状の小さな影が特徴的です。進行するとこれらの影が大きくなったり、癒合するので、そのような所見をとらえることもコツになります。

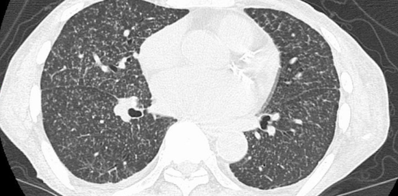
まさにこんな感じで、胸部レントゲンでは、びまん性の小粒状影が確認されます。CTにて精査です。

CTでは小粒状影が多発していることが分かります。なぜこれを粟粒結核と疑えるかというと、ぞくりゅ結核は2mm程度の粒で、サルコイドーシスは5mmくらいの粒だからです。
三連痰を施行し、結核が検出されるか確認する必要があります(通常はこの時点で結核疑いで結核病院に紹介します)。
柏五味歯科内科リウマチクリニック
ホームページ