

- 2025年10月24日
整形外科手術の際に関節リウマチ患者にMTXは休薬しない方がよいエビデンスが多いです。
整形外科周術期にメトトレキサート(MTX)を休薬しないのは、関節リウマチの関節破壊が進行するリスクの方が、手術後の感染リスクを上回るためです。MTXは免疫抑制作…


整形外科周術期にメトトレキサート(MTX)を休薬しないのは、関節リウマチの関節破壊が進行するリスクの方が、手術後の感染リスクを上回るためです。MTXは免疫抑制作…


1型DMの70歳女性。 長年糖尿病を患っており、CKD stage3(eGFR 30~60)、神経障害、視力障害を伴う進行性の網膜症の合併があった。 基礎ボーラ…


42歳女性。特記すべき既往なし。 約6か月前から顎の右側に腫れと痛みが出現し内科外来を受診した。 来院時発熱を認めず、顎の外傷歴はなかった。 身体所見では顎の右…


有症状性の関節リウマチの頚椎症とは、関節リウマチが原因で頸椎(首の骨)に炎症や破壊が起こり、それによってさまざまな神経症状が現れる状態のことです。 一…


関節リウマチの患者さんは、安静が必要な時期と適度な運動を取り入れるべき時期があります。炎症が強い時期には無理な運動を避け、痛みが落ち着いている時期には、関節の柔…


関節リウマチ(RA)に対し、早期に治療介入を行うことで、進行性の関節破壊を防ぐことができるため、将来的な整形外科手術のリスクが低減します。 1. 炎症を抑制し、…


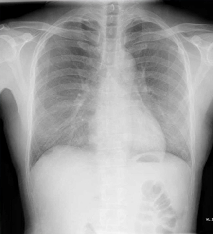
30歳男性。最近再生不良性貧血と診断され抗胸腺細胞グロブリン(ATG)(※抗リンパ球抗体、ウサギなどから作る。本症例はウマ由来)の投与を完了している。 来院2日…


42歳男性。2ヵ月前から左の睾丸が肥大し始めたため泌尿器科外来を受診した。 発熱や寝汗、体重減少、呼吸器症状、尿道分泌物の症状はいずれも認めなかった。 身体所見…


HTLV-1陽性の関節リウマチ(RA)患者は、HTLV-1プロウイルス量(RNAではなく、HTLV-1がT細胞のDNAに組み込まれたものを定量する手法)を定期的…


HCV-RNA陽性の関節リウマチ(RA)患者さんの診療では、肝炎の進行とRAの治療薬による肝機能への影響を考慮し、肝臓専門医との連携が不可欠です。 関節リウマチ…