- 2025年10月9日
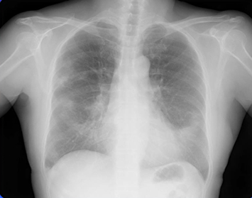
中葉舌区症候群(SBS: Middle Lobe and Lingula Syndrome)のレントゲン(X-p)
中葉舌区症候群(SBS: Middle Lobe and Lingula Syndrome)とは、右肺の中葉と左肺の舌区に、無気肺(肺の一部が虚脱した状態)や慢性的な炎症が起きたことによって生じる一連の症状です。主症状は「頑固で多量の痰」と「血痰」で、その他に慢性的な咳嗽、発熱、胸痛などがみられることがあります。
レントゲンを見るときは以下の項目に注意してみています。
中葉または舌区の陰影:
胸部単純X線で、右肺の中葉または左肺の舌区に陰影が見られます。
該当部位の縮小:
側面像やCTで、中葉または舌区が縮小している所見が確認されます。
シルエットサイン陽性:
正常な構造物と病変の境界が見えなくなる「シルエットサイン」陽性となることもあります。

本症例のレントゲンでは、右中肺野の浸潤影が明らかです。
右2弓、左4弓(心臓と接した舌区)とシルエットサイン陽性の浸潤影も認めます。
以上から、中葉・舌区病変→中葉舌区症候群(SBS)を最も疑いますが、NTM感染も否定はできません。精査に進みます。
※一般的に
浸潤影:SBSが多い
粒状影:NTMが多い
上記特徴を有します。CT画像で精査、喀痰検査で鑑別していきます。
柏五味歯科内科リウマチクリニック
ホームページ