• 2026年3月15日

眼症状が強く出た多発血管炎性肉芽腫症(GPA)の一例

68歳男性。

約2か月前から両目に痛み、発赤、かすみ目、光線過敏症が出現し、眼科受診となった。

前年には空咳、副鼻腔炎に罹患し、体重が6.8㎏減少したこともあった。

眼検査では、拡張した炎症を起こした強膜血管が明らかであった(→)。また強膜が薄くなり、青みがかった暴動膜組織(*)および周辺角膜浸潤(▼)

採血ではMPO-ANCA 力価640倍(正常範囲<20倍)、PR3-ANCA 1227 U/ml(参照範囲 0~19)であった。

Cre値と尿所見は正常だった。

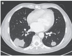
胸部CTでは肺結節が示唆された。

膠原病科と呼吸器内科へ紹介となり、肺生検標本では血管炎を伴う壊死と多核巨細胞を伴う急性炎症の病巣が示唆され、「多発血管炎性肉芽腫症(GPA)」の確定診断となった。

GPAの眼症状には強膜炎、角膜炎、視神経障害、網膜血管炎などある。

視力喪失や全身合併症を防ぐため迅速な診断と早期治療が必要になる。

本症例は治療としてGC投与+RTX投与が選択され、患者の症状は軽快傾向に向かった。

N Engl J Med 2022; 386:2221

DOI: 10.1056/NEJMicm2115936

柏五味歯科内科リウマチクリニック

ホームページ