

- 2025年9月30日
喫煙関連特発性間質性肺炎(剥離性間質性肺炎、DIP:desquamative interstitial pneumonia):たばこを吸うとなる間質性肺炎
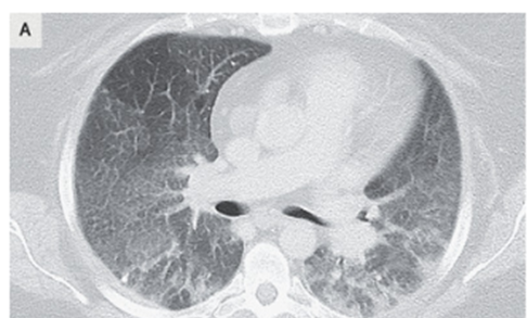
34歳女性。労作時呼吸困難と空咳が悪化傾向のため内科外来を受診した。 既往は特になく、職場も特に変化なし。薬物使用なし。発熱も特になかった。喫煙あり。 来院時 …


34歳女性。労作時呼吸困難と空咳が悪化傾向のため内科外来を受診した。 既往は特になく、職場も特に変化なし。薬物使用なし。発熱も特になかった。喫煙あり。 来院時 …


60歳の左利きの女性。パートナーに野球バットで殴られ、手で防御したところ左前腕に痛みが出現し救急外来受診。 身体所見としては左前腕に腫脹を認め、同部位は圧痛があ…


78歳男性。既往に糖尿病とCOPDがある。 約2か月続く声の出しにくさを主訴に耳鼻科受診。 過去10年間、COPDを管理するためICS/LABAを吸入していた。…


19歳男性、3年前からのレイノー現象と約1年間続く倦怠感、顔と手の発疹、指関節の関節痛を認め、内科外来受診。 身体検査では関節腫脹認めないものの、MP関節および…


43歳男性。特記すべき既往なし。 約3週間前から目のかすみ症状を認め、眼科受診。 眼の痛みや暗点は認めなかった。 眼を保護せずに夕日を眺める習慣が何年にもわたり…


特記すべき既往のない38歳男性。9ヵ月前から鼠径部に掻痒を伴う発疹が出現し改善を認めないため皮膚科を受診した。 バイタル正常。 身体所見では性器を持ち上げた際、…


47歳男性。特記すべき既往はない。7ヵ月前から頭部に痛みを伴う発疹が出現し、経口抗菌薬投与がなされたが、改善を認めず頭皮が痛いため、救急外来受診。 バイタルサイ…


この分野はリウマチ専門医によっても選択方法が分かれるところではありますが、判断基準となるランダムコントロール試験(RCT)があります。 ■3つのRCTあり。 2…


TNF阻害薬は生物製剤の中でも歴史があり、エビデンスが多いですが、非TNF阻害薬(オレンシア:ABT、アクテムラ:TCZ、ケブザラ:SAR)にも同様に効果がある…


抗リウマチ薬(csDMARD)で効果不十分な中等度以上の疾患活動性を有する関節リウマチ(RA)患者へはTNF阻害薬の併用が効果を示します。 その根拠を共有してお…