

- 2026年3月24日
結腸原発と考えられる転移性神経内分泌腫瘍を背景にしたカルチノイド心疾患の一例
67歳男性。 約1か月前から呼吸困難、下痢が出現し、昨日から腹痛が出現したため外来を受診した。 身体所見では頚静脈怒張、左胸骨下縁の全収縮期雑音、びまん性喘鳴、…


67歳男性。 約1か月前から呼吸困難、下痢が出現し、昨日から腹痛が出現したため外来を受診した。 身体所見では頚静脈怒張、左胸骨下縁の全収縮期雑音、びまん性喘鳴、…


86歳女性。特記すべき既往なし。 昨日から吐気、嘔吐、右側腹部痛が出現し救急外来を受診した。 来院時バイタル正常。 身体所見では、右上腹部に圧痛があり、Murp…


69歳男性。大量飲酒し帰宅後嘔吐。 その後左胸痛出現し救急外来受診。 ECGや採血上循環器疾患は否定的だった。 左胸痛が続くため造影CT施行。 縦隔条件 所見:…


86歳女性。認知症。 ケアマネジャーが薬の数が合わないため誤飲を疑い来院。本人に自覚症状なし。 胸部CT施行。 胸部中部食道に異物あり。 診断:PTP包装シート…


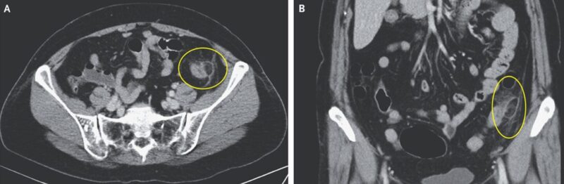
27歳女性。下腹部全体の痛みと頻回の下痢を主訴に来院。妊娠なし。造影CT施行。 所見:上行結腸に浮腫所見あり。 粘膜と外膜は造影効果が見られ、粘膜下層は浮腫状に…


58歳男性。胸痛を訴えていたが、心血管疾患は否定的で、胸腹部造影CT施行。 所見としては虫垂に腫大と周囲脂肪織濃度の上昇。 診断:急性虫垂炎 「胸痛」でやってく…


55歳男性。腹痛のため救急車で来院。腹痛精査のためCT撮影。CTから帰ってくると左上肢が動かしにくいと言っている。 単純CT 大動脈が割れている。左上肢麻痺が出…


74歳女性。高血圧症の既往あり。 3日前から上腹部痛と吐気、嘔吐、発熱、悪寒、脱力感、食思不振を認め、救急外来受診した。 2日前から排便がなかった。 来院時BP…


61歳女性。 逆流性食道炎を患っている。 2日前から左側腹部に鈍痛が出現し、断続的に続くため救急外来を受診した。 嘔吐や下痢や血便は無かった。 受診時バイタルは…


40歳男性。嘔吐と下痢で救急外来を受診した。 特記すべき既往もなく、特段変わった治療歴もなかった。 バイタルはHR 132である以外は正常だった。 身体所見では…