

- 2026年3月21日
アスベスト肺による収縮性心膜炎:両心カテーテル検査にて心室の相互依存性と圧力とレースの不一致を認めた症例
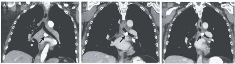
69歳女性。 3年にわたる労作時呼吸困難が悪化したため救急外来を受診した。 断熱材製造会社での勤務中に発生したアスベスト暴露に起因すると考えられる限局性胸膜プラ…


69歳女性。 3年にわたる労作時呼吸困難が悪化したため救急外来を受診した。 断熱材製造会社での勤務中に発生したアスベスト暴露に起因すると考えられる限局性胸膜プラ…


68歳男性。 約2か月前から両目に痛み、発赤、かすみ目、光線過敏症が出現し、眼科受診となった。 前年には空咳、副鼻腔炎に罹患し、体重が6.8㎏減少したこともあっ…


51歳女性。 急性リンパ芽球性白血病の病歴を持つ。3ヵ月前に骨髄移植を受けており、GVHDを発症し、CsAと高用量GCによる治療を受けていた。 今回、3日前から…


71歳男性。8年前から鼻の小結節が大きくなり内科受診となった。 発熱や体重減少、呼吸器症状は認めなかった。 既往として原因不明の虹彩炎があった。 身体検査では鼻…


75歳男性。COPDが既往にある。 COPDに対し、VATS(ビデオ補助胸腔鏡手術)にて右上葉の肺容積縮小術を受けた。 術後、右肺尖部気胸と皮下浮腫が合併症とし…


3日前から左上肢麻痺、構音障害。家族に連れられて受診。 神経所見が認められるため頭部CT撮影。 CTではLDAと周囲の強い浮腫性変化。 左は脳溝がみられるが、右…


34歳男性。4~5前から続く右胸痛・咳嗽。2日前より呼吸困難感が出現。 SpO2 93(r.a) 呼吸音:右で減弱。 X-p: 右肺は高度虚脱。 縦隔の左方変位…


30歳女性。国際線で長距離移動中、右ふくらはぎの痛みが出現。帰国後呼吸困難が出現し救急外来受診。 経口避妊薬の内服あり。 肺動脈相を映した造影CT撮影。 診断:…


80歳男性。発熱、呼吸困難、食思不振。CT施行。 右上葉中葉に広範囲に浸潤影。Air bronchogramが認められ、非区域性肺炎。 肺炎球菌やレジオネラ、肺…


70歳男性。咳・痰が1ヵ月続き、CT施行。 ■所見 左肺尖部に空洞 周囲に小葉中心性病変(tree-in-bud appearance) ※肺空洞性病変の鑑別 …