

- 2025年10月11日
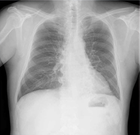
気管支拡張症の胸部レントゲン(X-p)写真
気管支拡張症のレントゲン写真はシルエットサインが陽性で、嚢胞性病変がある場合に疑えます。気管支の拡張や壁の肥厚が見える場合にも鑑別に挙げていきます。特徴を共有し…
気管支拡張症のレントゲン写真はシルエットサインが陽性で、嚢胞性病変がある場合に疑えます。気管支の拡張や壁の肥厚が見える場合にも鑑別に挙げていきます。特徴を共有し…
胸部裂孔ヘルニアが有症状になることは多くありませんが、場合により慢性咳嗽を主訴に受診することがあります。 レントゲン所見とすると、縦隔内に空気を想起させる透過性…
肺結核や非結核性抗酸菌症(NTM)を疑うためには順番があり、まず肺炎を否定し、その後改善に乏しく精査にて疑う、という順番になります。今回は結果的には肺結核でした…
初期の肺癌の画像は読影がとても難しいです。「肺癌」を直接疑えなくても、異常陰影をとらえる、という順番で見ていくと「正常ではない」ことに気付け、精査へ進めます。今…
薬剤性肺炎のレントゲン写真には、すりガラス陰影、浸潤影、網状陰影、小葉中心性陰影といった特徴的な所見がみられ、肺の広がり方や陰影の形によって複数のパターンに分類…
この写真を見たら何を考えるでしょうか? 所見としては、心陰影はシルエットサイン陰性、下降大動脈はシルエットサインは陽性、左横隔膜はシルエットサインは陽性です。 …
片側胸水を見たとき、どこから胸水が来ていそうか考えることが重要というのは以前のレントゲン写真で説明しました。今回は無気肺のレントゲン写真です。 無気肺では肺が白…
同じレントゲン写真でも患者さんを診察し、症状を聴取しないと鑑別できないレントゲン写真もあります(CPA dull)。 CPA dullとは胸水が溜まっている場合…
肺嚢胞のレントゲン所見では、肺野に黒く映る袋状の「ブラ」が確認されます。これらのブラは空気がたまった異常な空洞で、サイズが大きくなったり(巨大ブラ)、内部に炎症…
片側に胸水が貯留したレントゲン写真は透過性が大きく低下しているため明らかに異常が分かります。 注意事項とするとなんで胸水がたまっているのか、縦隔や心臓、胸壁周囲…