- 2025年9月28日
- 2025年12月22日
顎骨壊死(デノスマブ由来)
54歳女性。
既往に乳癌があり転移性乳癌に対し現在も加療中。
4か月前から右顎の痛みが出現し、悪化してきたため救急外来を受診。
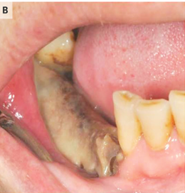
身体所見としては下顎の腫脹を著明に認めた。

口腔内を観察すると、下顎骨が露出していた。

X-pでは右下顎に境界不明瞭な透過性亢進領域を認めた。

臨床上骨壊死が疑われた。
この患者は骨転移に関連する合併症を予防するために4週ごとに120mgのデノスマブ(プラリア🄬)(骨粗鬆症量としては60mgを半年ごと)の投与を受けていた。ここ半年で口腔内環境不良により歯周炎が生じ、歯は抜け落ち、無歯領域が出現してきていたことが分かった。
最終診断としては口腔外瘻孔形成を伴う二次感染を合併した薬剤関連顎骨壊死と診断した。
※薬物療法に関連した顎骨壊死としてデノスマブとビスホスホネート製剤が有名。
危険因子として抜歯のみならず、口腔衛生不良、歯科疾患があるため「口腔内衛生環境を整えるよう指導すること」が重要である。
本症例は外科的デブリードマンと馬蹄切除術を受け、その間はデノスマブを中止、抗生剤投与と経口洗浄が継続され、治癒後、デノスマブ再開された。1年後フォロー時点で症状は完全消失している。
N Engl J Med 2023; 388:e69
DOI: 10.1056/NEJMicm2209172
柏五味歯科内科リウマチクリニック
ホームページ