• 2026年1月14日

気胸+再膨張性肺水腫の症例

34歳男性。4~5前から続く右胸痛・咳嗽。2日前より呼吸困難感が出現。

SpO2 93(r.a)

呼吸音:右で減弱。

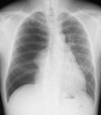
X-p:

右肺は高度虚脱。

縦隔の左方変位。

右緊張性気胸の診断。

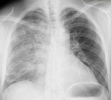
→酸素投与し、胸腔ドレーン挿入。直後からSpO2 80%(5L nasal)に低下し、咳嗽・呼吸困難感の悪化が出現した。Xp再検&CTにて精査。

X-pでは浸潤影やすりガラス陰影

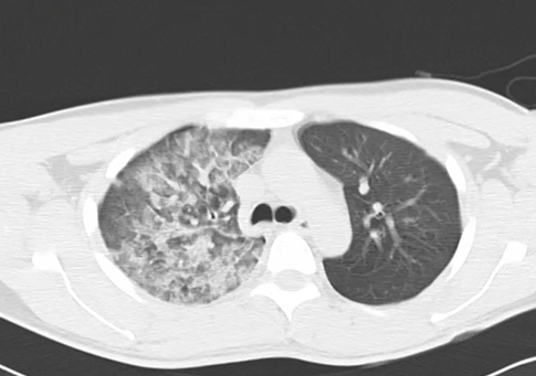
CTでは気胸は改善するものの浸潤影やすりガラス陰影

→再膨張性肺水腫を考える

■再膨張性肺水腫

ドレナージにより再膨張した場合に生じる非心原性肺水腫。

危険因子は40歳未満、虚脱率が高度、肺の虚脱時間が長い(3日以上)、急激な再膨張過程

病態:肺毛細血管から肺胞へ血液成分の漏出が起こり、泡沫上の血性痰、wheeze聴取。

治療:対処療法が主体。確立された治療法なし。陽圧管理+利尿薬+ステロイドで加療されること多い。

柏五味歯科内科リウマチクリニック

ホームページ