- 2026年2月9日
胆嚢捻転:術前に同定することは非常に困難です。
86歳女性。特記すべき既往なし。
昨日から吐気、嘔吐、右側腹部痛が出現し救急外来を受診した。
来院時バイタル正常。
身体所見では、右上腹部に圧痛があり、Murphy徴候陽性であった。
採血所見は炎症反応上昇がないことを含め正常範囲だった。
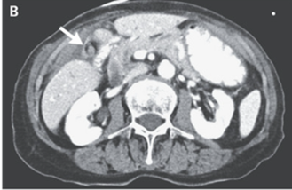
腹部CTでは外側壁肥厚を伴う腫大した胆嚢を認めた。

また胆嚢動脈および胆管の渦巻き所見を認めたが、総胆管の拡張は認めなかった。

疼痛強く、胆嚢捻転が疑われ、緊急手術となった。
腹腔鏡にて嚢胞性動脈と胆管を取り囲む浮腫性の壊死性胆嚢が確認された。
そのため手術は開腹手術に変更され、胆嚢切除術が施行された。

「胆嚢捻転」は胆嚢が嚢胞性動脈および胆管の軸に沿ってねじれると発生し、胆嚢への血流が損なわれる。
患者は急性発症の腹痛で来院し、胆嚢捻転を術前に同定することは非常に困難である。
胆嚢炎と診断されることも多いが、症状が改善せず、患者が痛がり開腹に至り診断がつくことも多い。
一度手術が行われると、術後経過は良好で、本症例も術後2日目に退院することが出来た。
N Engl J Med 2022; 387:640
DOI: 10.1056/NEJMicm2118625
柏五味歯科内科リウマチクリニック
ホームページ