- 2025年9月30日
- 2025年12月22日
喫煙関連特発性間質性肺炎(剥離性間質性肺炎、DIP:desquamative interstitial pneumonia):たばこを吸うとなる間質性肺炎
34歳女性。労作時呼吸困難と空咳が悪化傾向のため内科外来を受診した。
既往は特になく、職場も特に変化なし。薬物使用なし。発熱も特になかった。喫煙あり。
来院時 平熱、SpO2 85(r.a)→93(3L nasal)
身体所見では coarse crackleを認めた。
指はばち指は認めなかった。
肺機能検査では閉塞性障害と拘束性障害を軽度認めた。
胸部CTではびまん性すりガラス陰影と胸膜直下の浸潤影を認めた。蜂巣肺は認めなかった。

気管支肺胞洗浄では診断はつかず、外科的肺生検が施行された。
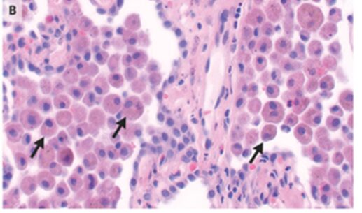
組織病理所見はHE染色で間質の線維化と肺胞内にマクロファージが大量に充填されている像が確認された。

以上から喫煙関連特発性間質性肺炎(剥離性間質性肺炎、DIP:desquamative interstitial pneumonia)と診断された。
禁煙とグルココルチコイド加療が行われ、3か月後症状消失、画像は完全改善が得られている。
患者は禁煙を守っている。
N Engl J Med 2023; 388:1512
DOI: 10.1056/NEJMicm2211399
柏五味歯科内科リウマチクリニック
ホームページ