• 2026年2月24日

妊娠性栄養膜疾患:全ての染色体が父親由来である異常受精の一例

32歳女性。2回の妊娠と2回の出産歴をもつ。

約20日前から性器出血が続くため婦人科受診となった。

来院の10週間前に無月経が発症し、来院の2週間前に家庭用妊娠検査薬で陽性が出ていた。

身体所見では、子宮底の高さは妊娠12週の妊娠と一致していた。

血清ヒト絨毛性性腺刺激ホルモン(hCG)は222634(参考値<5)であった。

経腟超音波では「吹雪」パターンを形成する多数の嚢胞性スペースを伴う子宮内腫瘤が示された。

胞状奇胎の可能性があり、拡張と掻爬が行われた。胎児部分を一切含まないびまん性水腫絨毛膜絨毛を子宮から除去した。

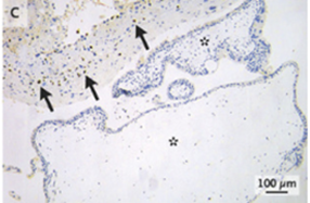
病理組織学的検査では免疫染色では子宮組織(矢印)では母親から発現される遺伝子産物であるp57の発現が陽性だったが、絨毛(星印)では発現されなかった。

以上から全ての染色体が父親由来である異常受精に起因する「妊娠性栄養膜疾患」であると診断された。

手術から6週間後、hCGレベルは検出されず、1年後も検出されていない。

N Engl J Med 2023; 389:1708

DOI: 10.1056/NEJMicm2304005

柏五味歯科内科リウマチクリニック

ホームページ