- 2025年10月2日
- 2025年12月22日
大腿骨頭すべり症(10代に最も一般的な股関節疾患)
肥満歴のある12歳男児。2週間前から右股関節に跛行と鈍痛を認め、整形外科受診。
症状は学校で滑って転んだことをきっかけに始まった。
BMIは95%タイルを越える肥満であった。
診察所見としては、右股関節の能動的および受動的な疼痛ならびに可動域制限を認めた。
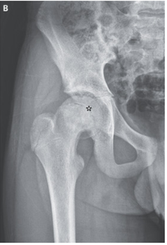
骨盤X-p施行。右大腿骨骨端の後方変異が示され、「コーンから落ちたアイスクリーム」と表現される所見だった(星印)。

上記所見より「大腿骨頭骨端すべり症」と診断された。
「大腿骨頭すべり症」は10代に最も一般的な股関節疾患である。
大腿骨近位部が前外側および上方に偏位するため、骨端が後方および下方に偏位したように見えるのが特徴。
リスクとしては肥満が挙げられるが、通常本症例の様に外傷とは関連しない。
治療としては右股関節固定術が行われた。
9か月後のフォローアップでは症状は完全消失し、X-pでは滑りがなく大腿骨頭と大腿骨近位部が結合していることが確認された。

N Engl J Med 2023; 388:e42
DOI: 10.1056/NEJMicm2209948
柏五味歯科内科リウマチクリニック
ホームページ