- 2025年10月3日
- 2025年12月22日
上腸間膜症候群(瘦せ型の人に見られる嘔吐症)
26歳男性。アフリカ出身。5ヵ月前から空咳、寝汗、18㎏の体重減少を認め、救急外来を受診。
この5か月で上腹部痛と食後の嘔吐のエピソードも発症した。
BMIは11で衰弱していた。
身体検査では腹部膨満が著明で、触診では腹部にびまん性の軽度圧痛を伴った。
胸部画像検査と喀痰検査から肺結核と診断され結核治療が開始となった。
その後も食後の嘔吐が続き、精査目的に造影CT施行。
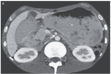
腸間膜脂肪と皮下脂肪はほぼ認めず、胃の拡張と上腸間膜と大動脈に挟まれた十二指腸を認めた(矢印)

嘔吐に関しては結核による全身状態不良による「上腸間膜症候群」と診断された。
中心静脈栄養が開始となったが、患者は2週間後に退院することを選択し、退院後は追跡調査が出来なくなった。
N Engl J Med 2023; 389:359
DOI: 10.1056/NEJMicm2213146
柏五味歯科内科リウマチクリニック
ホームページ