- 2025年10月7日
梅毒(梅毒性直腸炎)
50歳男性。約1か月にわたる痛みを伴う血便を認めるため、内科受診。
症状が出現する1か月前、新しいパートナーとコンドームを使用せず肛門性交を受け入れていた。
発熱や体重減少、発疹や生殖器病変、排便習慣の変化はないとのことであった。
身体診察では腹部に圧痛がないことを含め正常だった。
血清学的検査では梅毒RPR力価は32倍、HIVは陰性だった。
直腸ぬぐい液から採取したサンプルではクラミジアと淋菌は陰性だった。
その後大腸内視鏡検査施行。直腸遠位部に浮腫状のもろい粘膜と若干の出血を伴う直径3cmの潰瘍を認めた。

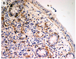
生検が施行され、病理所見では、固有層および粘膜下層に組織球およびリンパ形質細胞浸潤が認められた。肉芽腫や新生物は認めなかった。潰瘍の免疫組織化学染色では固有層内に多数のスピロヘータが存在していることが示唆された。

診断としては「梅毒性直腸炎」と診断された。PCGにて治療が行われ、症状は改善し、RPR力価は8倍まで低下した。フォローの大腸内視鏡では直腸潰瘍の消失が確認されている。

N Engl J Med 2023; 389:e9
DOI: 10.1056/NEJMicm2301469
柏五味歯科内科リウマチクリニック
ホームページ