- 2025年10月7日
突然膿胞性(生後8日の男児に突然出現)
生後8日の男児。突然膿胞性発疹が出現した。
自然経腟分娩により正期産で出生した。
母親に性器ヘルペスの感染歴はなかった。
身体所見としては頭皮や顔面、首、胸上部に直径5mm大の結節性丘疹および膿疱が複数散在していた。

手のひらや足の裏には病変は認めなかった。
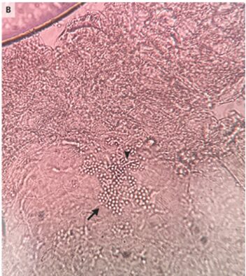
採血所見としてはCRP陰性、細菌培養および膿疱内容物のTzanck塗抹標本(herpes検出)は陰性だった。
膿疱のKOHでは真菌の胞子と菌糸が示された。

以上から「新生児頭部膿疱症」と診断された
新生児頭部膿疱症は生後数週間で現われる一般的な膿疱症。病態生理学は解明されていないが、マラセチア種の異常増殖に関連している可能性が報告されている。
ほとんどの場合は自然に治癒し、局所抗真菌薬投与により治癒が早まるとされている。
本症例では局所抗真菌クリームの投与が開始され3日後、発疹は治まった。
N Engl J Med 2023; 389:e10
DOI: 10.1056/NEJMicm2301685
柏五味歯科内科リウマチクリニック
ホームページ