- 2025年10月8日
肺癌のレントゲン(X-p)写真
肺癌のレントゲン(X-p)写真の特徴を共有します。検診などでレントゲンを撮ることは多いと思います。医師が責任をもって読影しますが、どのような特徴をもとに読影をしているのか共有しておきます。
結節影(けっせつえい):
本来、空気を含んで黒く映るはずの肺に、直径3cm以下の円形や楕円形の白い影として現れます。これは肺の組織ではない「しこり(腫瘤)」の可能性があることを示します。
浸潤陰影(しんじゅんいんえい):
炎症などにより肺に水分が溜まり、境界がはっきりしない白い影として映ります。これは肺炎の典型的な所見ですが、肺癌細胞が周囲の細胞に炎症を起こしている場合にも見られることがあります。
空洞影(くうどうえい):
肺がんが進行して肺組織の中にドーナツ状の空洞ができると、周りが白く、中が黒い「空洞影」としてレントゲンに写ることがあります。
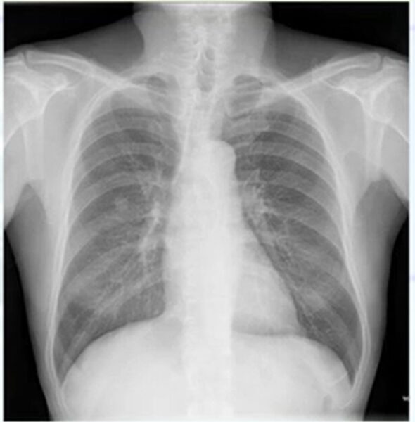
本症例では右中肺野に結節影を認め、肺癌が疑われ、精査に進めます。
読影のポイントとすると、もともとある構造物が重なって濃度症状をきたすもの(骨と骨・血管と骨の重なりなど)。は異常か正常かX-pでは言えませんので、過去の写真と比較して、1年前なかった(肺癌)、1か月前なかった(結核)、1週間前なかった(肺炎)を考えます。

柏五味歯科内科リウマチクリニック
ホームページ