- 2025年10月9日
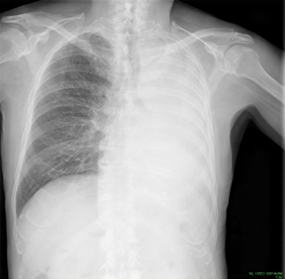
無気肺のレントゲン(X-p)
片側胸水を見たとき、どこから胸水が来ていそうか考えることが重要というのは以前のレントゲン写真で説明しました。今回は無気肺のレントゲン写真です。
無気肺では肺が白くつぶれて見えることが特徴です。横隔膜付近を確認すると辺縁が追える場合は無気肺であることが多いです。胸水の場合は辺縁が追えないくらい真っ白になります。

このレントゲン写真では、左無気肺であることが分かります。
別の見極め方としては、気管が病変と同側に偏位しているならば無気肺であり、気管が病変と対側に押しやられているなら腫瘤や胸水を想定する方法もあります。
本症例は同側に偏位しています。そこからも無気肺が想定されます。
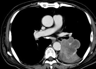
ちなみにCT所見は無気肺(腫瘤の場合造影効果(血管)は映らない)でしたが、無気肺に至る何かしらの原因(Tbや肺癌や誤嚥など)があると推定され、それはそれで精査が必要な所見です。

柏五味歯科内科リウマチクリニック
ホームページ