- 2025年10月11日
肺結核や非結核性抗酸菌症(NTM)を疑う胸部レントゲン(X-p)
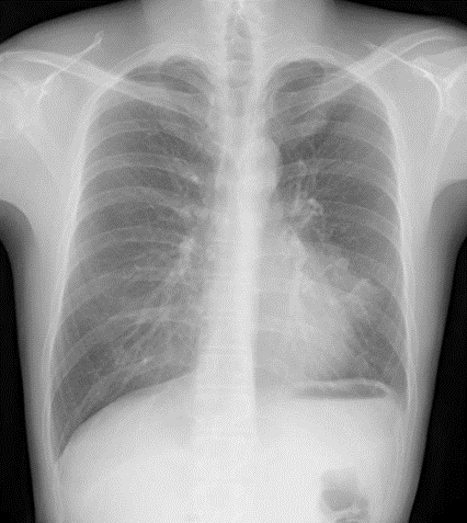
肺結核や非結核性抗酸菌症(NTM)を疑うためには順番があり、まず肺炎を否定し、その後改善に乏しく精査にて疑う、という順番になります。今回は結果的には肺結核でしたが、そうは思わずまずレントゲンを見てください。

所見としては左舌区(左3弓シルエットサイン陽性)にコンソリデーションあり。
肺炎疑いです。
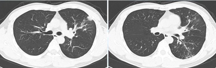
有症状であれば抗生剤投与適応になりますし、無症状であれば経過観察し改善乏しければ精査に進みます。改善認めずCT精査。

粒状影を認め、気管支拡張症も確認できます。NTMや肺結核を疑います。
喀痰検査施行し肺結核と診断され加療された症例です。
柏五味歯科内科リウマチクリニック
ホームページ