- 2025年10月13日
難易度は高めだが、肺腺癌レントゲン写真(X-p)
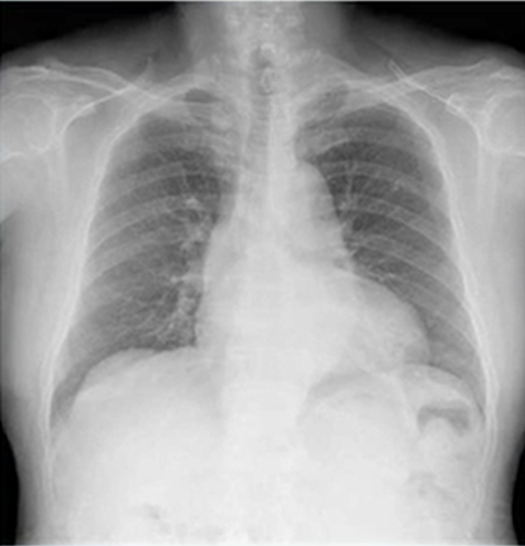
医師が胸部レントゲンで読影できるかで患者さんの寿命を大きく変えてしまうことがあります。なのでいつになっても医師は実力を高めるために努力が必要になります。本日のレントゲンで肺癌を疑うことはできるでしょうか?

今回のレントゲン(X-p)写真では左下肺野の心臓裏に結節影(肺野から左横隔膜へ走る白い陰影がおかしいことから推測していく)があることから疑うことができます。CTにて精査案件です。
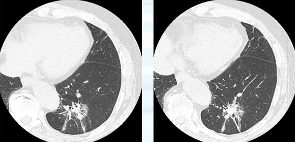
■CT所見

CTでは胸膜陥入像が確認でき、限局したすりガラス影が確認できます。このような肺癌の多くは肺腺癌です。肺腺癌は内部に線維化を伴って胸膜を引っ張り込んでいくことが特徴です。
柏五味歯科内科リウマチクリニック
ホームページ