- 2025年10月13日
間質性肺炎の急性増悪の胸部レントゲン(X-p)写真
前提として何かしら(当院では膠原病関連)の間質性肺炎が存在している事をあらかじめ知っているということがあります。呼吸困難感増悪症例です。

所見としてはCPA(肋横隔膜角)が dull(鈍)であり、両側肺野にびまん性のすりガラス影が確認できます。また心拡大も顕著です。
この時点で疑われる疾患は間質性肺炎の急性増悪、急性心不電です。
一般のクリニックでしたらこの時点で紹介になります。CTがある場合はCTで確認してもよいです。

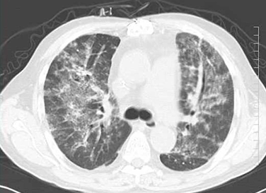
CT所見としてはすりガラス影、網状影の広がりが確認されます。間質性肺炎疑いです。
その後の臨床経過とするとその後血痰も出現し、肺胞出血が疑われ、挿管管理となりました。迅速な判断が必要な症例になります。
柏五味歯科内科リウマチクリニック
ホームページ