- 2025年10月13日
肺クリプトコッカス症のレントゲン写真(X-p):検診でしっかりフォローしているからわかる症例
検診を行っているでしょうか?検診をしっかり行い前回写真があるからこそわかる症例もあります。今回は肺クリプトコッカス症であった症例ですが、これが肺癌であっても全くおかしくはありません。
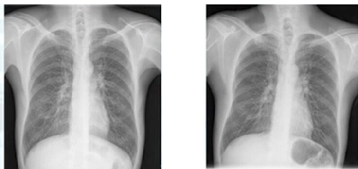
左が1年前、右が今年のレントゲン写真です。

所見としては、右肺尖部、鎖骨下に結節影が出現していることが分かります。
鎖骨や肋骨など、影が多い場所で異常を見つけるコツとしては
・骨からはみ出しているものに注意する
・過去の写真と比較する
このような所見が挙げられます。その後CT検査に進んでいます。

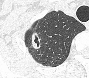
CT所見としては胸膜陥入像を伴う空洞性病変が確認できます。当然悪性腫瘍も鑑別になります。
気管支鏡検査へ進み、肺クリプトコッカス症であった症例でしたが、肺癌であったなら発見が遅れると致命的になります。医師の診断能力と患者の定期的なレントゲン写真撮影が必要になります。
柏五味歯科内科リウマチクリニック
ホームページ