- 2025年10月15日
肺癌(LCNEC)による気道狭窄の胸部レントゲン写真(X-p)
LCNEC(大細胞型肺がん)が原因で気道狭窄が起きている場合、胸部レントゲン写真(X-p)では、狭窄を起こしている気道に接して腫瘍が映り込み、気道が細くなっている所見として現れます。具体的には、境界のはっきりした腫瘤影(しゅりゅうえい)が気道壁を圧迫するように見えることや、気道が細くなっている部分に空気が通りにくくなっている様子が示唆されます。
今回の症例です。主訴は息苦しい、食欲がない、ということで受診されました。バイタル正常、採血も正常です。胸部レントゲンにて異常所見を見つけられるかどうかにすべてがかかっています。

所見としては明らかに気管下部に狭窄所見が確認されます。精査です。
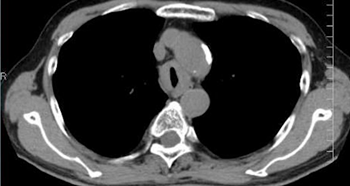
□CT

所見としては気管を取り囲むように濃度上昇域があり、さらなる精査が必要です。
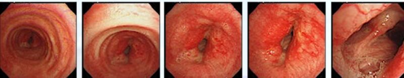
□気管支鏡検査

気道狭窄が確認できます。生検施行し、肺癌(LCNEC)の確定診断です。
LCNECは「大細胞神経内分泌癌(Large Cell Neuroendocrine Carcinoma)」の略で、神経内分泌細胞に分化する特徴を持つ、大細胞癌の一種です。主に肺に発生することが多いですが、消化管など他の臓器にも発生し得ます。悪性度が高く、小細胞癌と類似した進行の速い傾向があるため、非小細胞肺癌とは区別して扱われます。
柏五味歯科内科リウマチクリニック
ホームページ