- 2025年10月22日
- 2025年12月22日
精巣結核:片側睾丸がだんだんと腫れてきます
42歳男性。2ヵ月前から左の睾丸が肥大し始めたため泌尿器科外来を受診した。
発熱や寝汗、体重減少、呼吸器症状、尿道分泌物の症状はいずれも認めなかった。
身体所見では、左睾丸が肥大し硬く、圧痛を感じていなかった。
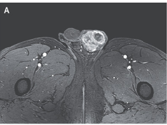
MRIでは不均一な協調を伴う分葉状の左精巣塊を認めた。

精巣癌の血清腫瘍マーカーは陰性だった。
鑑別として精巣癌は完全否定できず、話し合いの末根治的鼠径部精巣摘出術が施行された。
切除された肉眼検査では壊死性結節が示された。

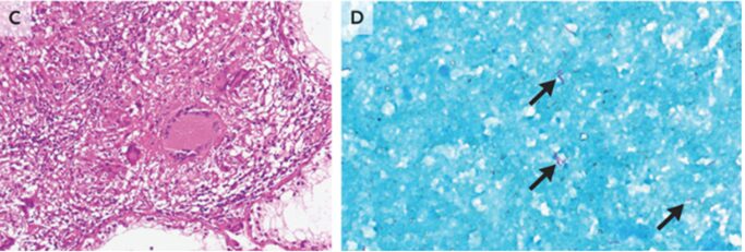
組織病理学的検査では陥落性壊死を伴う肉芽腫性炎症が認められ(C)、抗酸菌が示された(D)。

結核PCR陽性。
胸部CT正常。
「精巣結核」と診断され、9か月間の抗結核療法が施行された。その後再燃なく健康状態は良好に推移しフォロー終了となっている。
N Engl J Med 2023; 389:e13
DOI: 10.1056/NEJMicm2301695
柏五味歯科内科リウマチクリニック
ホームページ