- 2025年10月24日
- 2025年12月22日
脳エキノコックス症:17歳既往ない青年に認めためまいと頭痛と足の脱力
17歳少年。特記すべき既往なし。
3週間前からめまい、頭痛、右足の脱力を訴え、救急外来を受診した。
神経学的検査では右下腿MMT 4/5と低下していた。
頭部CT施行。左側の前頭葉と大脳基底核に環状病変を認め緊急入院。
頭部MRIにて精査されT1強調画像、sagittalにて前頭葉における病変を認め(A)
T2強調、axial画像にて病変と周囲の浮腫像、および正中線のシフトが確認された(B)

エキノコックス(単包条虫:Echinococcus granulosus、多包条虫(Echinococcus multilocularis)いずれのIgGも陰性であった。
外科的切除生検が施行された。
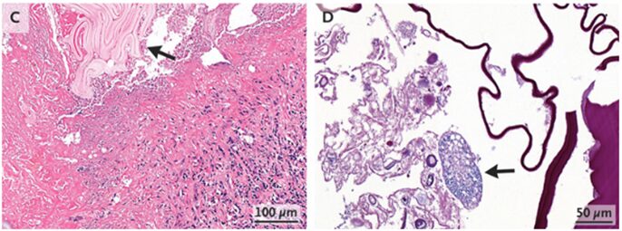
病理では周囲に肉芽腫性炎症を伴う壊死組織とエキノコックスの積層膜(C、矢印)を認め、無傷の嚢胞(D)も確認された。PCR検査によりEchinococcus multilocularisが同定された。

胸腹部CTでは他の罹患部位は確認されなかった。
「原発性脳エキノコックス症」と診断された。
エキノコックス症の原因となる条虫は感染した動物との接触によって感染するが、この患者は接触歴がなかった。
術後、アルベンダゾールの投与が開始され、2ヵ月目には症状は消失を認めている。
N Engl J Med 2023; 388:453
DOI: 10.1056/NEJMicm2202196
柏五味歯科内科リウマチクリニック
ホームページ