- 2025年10月28日
- 2026年1月6日
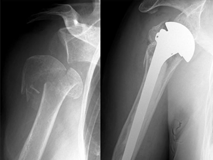
肩関節破壊を伴う機能障害に対しては人工肩関節全置換術や上腕骨人工骨頭置換術(HA)という手があります
肩関節の重度の破壊や機能障害に対しては、人工肩関節全置換術(TSA)や、上腕骨頭のみを人工骨頭に置き換える人工骨頭置換術(HA)が有効な治療法です。これらの手術は、痛みの緩和や関節機能の改善を目的とします。
人工肩関節全置換術(TSA)
- 概要: 肩甲骨と上腕骨の両方の関節表面を人工材料に置き換える手術です。
- 適応: 主に、肩甲骨の受け皿と上腕骨の骨頭の両方が傷んでいる変形性肩関節症や、関節リウマチなどが対象となります。
- 目的: 痛みの軽減と関節動作の改善が期待されます。

人工骨頭置換術(HA)
- 概要: 上腕骨の骨頭のみを人工骨頭に置き換える手術です。
- 適応: 上腕骨の骨頭部分のみが傷んでいる変形性肩関節症や、上腕骨近位部骨折などが主な適応となります。
- 目的: 上腕骨頭の破壊による機能障害を改善します。

その他の選択肢
- 反転型人工肩関節置換術: 腱板断裂によって関節の機能が破綻している場合に、腱板断裂断裂など、一部のケースで適応される場合があります。

以下は、人工肩関節全置換術(TSA)の中で、「リバース型」を除いたTSAとHAとの比較論文です。
症例報告
・再置換をエンドポイントとした人工関節生存率の比較では
10年生存率:TSAでは94%、HAでは90%
20年生存率:TSAでは87%、HAでは89%。
10年、20年ともに両者に統計学的有意差は認めなかった。
・腱板損傷が起きていない段階で手術した場合
TSAの生存率はHAに比較して有意に高かったという論文もある。
・可動域改善
腱板損傷されていない場合はTSAの方がHAより大きい傾向にあったが、有意差まではでなかった。
腱板損傷が起きている場合はTSAもHAも同程度であった。
・合併症
両群ともに有意差なし
再置換率や臨床成績はTSAがHAよりも明確に優れているエビデンスはないが、腱板が温存されている関節ではTSAの臨床成績と耐久性はHAに比してやや優れており、TSAが主流となっているがHAが悪いというわけではありません。
柏五味歯科内科リウマチクリニック
ホームページ