- 2025年11月10日
- 2025年12月22日
TACEによる薬剤溶出ビーズによる皮膚壊死:治療は局所ステロイド塗布です。
81歳女性。既往に慢性C型肝炎、肝硬変、肝細胞癌がある。
5日前から腹部全体に痛みが出現し、徐々に増悪してきたため、皮膚科を受診することとなった。
発症9日前に肝細胞癌を治療するため、ドキソルビシン溶出ビーズを使用したTACE(経動脈化学塞栓術)を受けていた。身体所見としては上腹部と左上腹部の皮膚に中心が萎縮した白色を伴う紅斑を複数認めた。

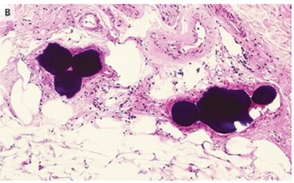
皮膚生検により、HE染色表皮壊死、ケラチノサイトおよびエクリン腺の反応性異型、ならびに緻密な好塩基性物質で構成される円形塞栓による真皮網状小血管の閉塞が明らかになった。

「TACEによる薬剤溶出ビーズによる皮膚壊死」と診断された。
TACEでは冠動脈血管領域を超えた化学塞栓物質の拡散(非標的塞栓とも呼ばれる)が合併症として出現する可能性がある。
肝鎌状動脈塞栓形成がある場合、上腹部皮膚壊死が発生することがある。
本症例では、経口ペントキシフィリン(血管拡張・血小板凝集抑制薬、日本では未承認)と局所GC塗布療法で治療された。6か月後、皮膚病変は軽減したが、瘢痕は残った。
N Engl J Med 2022; 387:2268
DOI: 10.1056/NEJMicm2205333
柏五味歯科内科リウマチクリニック
ホームページ