- 2025年12月3日
- 2025年12月22日
マンガン中毒症例:EDTAの静脈内投与を6か月
55歳男性。10年来の進行性の手書き障害と早口でろれつが回らないという症状を主訴に神経内科受診となった。
30代の頃に個人用防護具をつけずに溶接工として働いていた。
神経学的検査では、顔の表情の低下、眼瞼けいれん、乱雑な構音障害のある発話が顕著だった。
筆跡は乱雑で、顕微鏡写真のようだった。
姿勢反射は軽度に障害されていた。
患者の職業的暴露、パーキンソニズム、眼瞼けいれんから重金属の暴露に伴う毒性が考えられた。
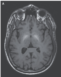
頭部MRI施行。両側大脳基底核に非増強のT1強調高信号を認めた飲みだった(A)。

採血所見では、血清鉄、セルロプラスミン、銅、亜鉛、水銀正常、マンガン含め重金属すべて正常だった。
「溶接歴」と「神経症候群」に基づいて「マンガン中毒」と診断された。
血性および尿中マンガン濃度は以前の暴露の場合には正常であることが多いため、正常であったと解釈された。
全エクソームシークエンス解析ではMn代謝における遺伝的エラーは特定されなかった。
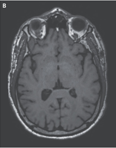
EDTAの静脈内投与による治療が6ヵ月間行われ、患者の症状は軽快し、MRI上の異常所見も解消された。

EDTAの静脈内投与による治療が6ヵ月間行われ、患者の症状は軽快し、MRI上の異常所見も解消された。
N Engl J Med 2023; 389:1320
DOI: 10.1056/NEJMicm2301805
柏五味歯科内科リウマチクリニック
ホームページ